ご予約・ご相談はお電話で
0952-27-50550952-27-5055
月曜~土曜日 9:00~17:30/休診日 日曜・祝日

ホワイトニング

ホームホワイトニングHome Whitening

「ホームホワイトニング」は、マウスピースにホワイトニング用の薬剤を入れて装着することで、歯を白くするホワイトニング方法です。

最初にご来院頂いてご自身の歯型をとったら、後はマウスピースが完成した際にマウスピースと薬剤を受け取りにご来院頂くだけ。あとはご自宅でご自身でホワイトニングを行います。つまり、歯科医院に何度も通わずに自宅でできるホワイトニングです。

自分のタイミングで行うことができるので、仕事などが忙しくて歯医者に通うのが難しい、という方に人気です。 また、時間をかけてじっくりと歯を白くするため、透明感のある自然な仕上がりになると同時に、色戻りまでの期間が長いというのもメリットです。

またホームホワイトニングは歯並びが変わっていなければ、そのままマウスピーストレーを利用できるため、薬剤だけご購入いただければ、定期的にリタッチ(色戻りが始まりそうなタイミングで、ご自身でホワイトニング)することも可能です。

また、イターナル歯科クリニックで取り扱っているティオンのホームホワイトニングジェルは、白色なのでマウスピース内の状態を確認しやすいと評判です。

ホワイトニングの時間は、1日1回、2時間以内となります。薬剤(シリンジ)は1本につき1週間、2本お渡ししま すので、期間は最長2週間程度となります。

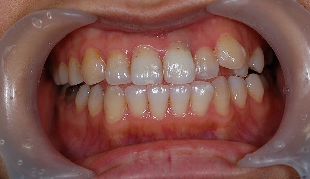
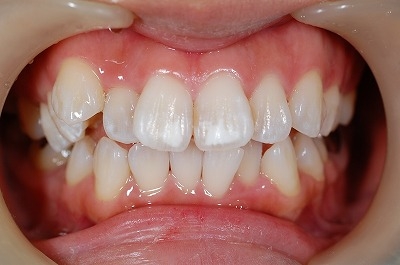
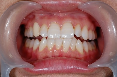
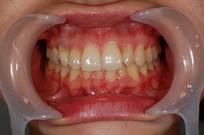
ホームホワイトニング症例example

...
...
...
...
...
...
...
...

FAPホワイトニングservivces

当院で行っているFAPホワイトニング法は日本人が日本人のために考案したホワイトニング法です。

ホワイトニングには様々な方法がありますが、実はその多くが主にアメリカから広まった方法であるため、私たち日本人の歯に対しては満足のいく結果にならないことがあります。また、基本的にほとんどのホワイトニング法は歯を傷つける事になり、一度歯が白くなったとしても後戻りをしますが、FAPホワイトニング法では歯質を強くし、むし歯になりにくくなり、後戻りをしない大変優れた方法なのです。

白くて綺麗な歯は美の象徴です。また、知性や教養の象徴でもあります。 美を追求するならば、化粧と同様に歯を白くしたり歯並びをよくするすると良いのではないでしょうか。

ホワイトニングの案内servivces

FAPホワイトニングのご案内

FAPホワイトニング法は1週間に1回程度来院していただき、5回~10回程度の施術により歯を白くする方法です。回数と期間はかかりますが、また後戻りをせず美しく白い歯が長持ちする画期的な方法です。

お口の検査、歯石とりやクリーニングをした後にホワイトニングを開始します。ホワイトニングの薬液が歯茎に触れないように歯茎を専用のワックスで保護し、歯に薬液を塗ります。15分後、薬液をふき取るといったことを行います。

ホワイトニング前の診査

お口の中がホワイトニングができる状態であるかを検査します。(特に歯に問題点がないか)この検査は歯科的な問題点がないかどうか目で見て診断します。お口の中に虫歯や歯周病の疑いがある場合にはホワイトニングを行うことができません。検査及び虫歯や歯周病の治療は健康保険制度に基づき治療が行えます。保険証を必ず持参されてください。

歯科的な問題点とは

  • 虫歯、歯ぎしり、歯周病、無カタラーゼ症、妊婦の方、多量の歯石が付いている場合等です。このような方は、当日ホワイトニングの施術ができないケースがあります。
  • 歯科疾患の可能性ある場合は、レントゲンを撮り、歯の治療から行わなければならないケースもあります。(保険適応)

FAPホワイトニング法のメカニズムservivces

ホワイトニングのメカニズムを説明するにあたり、まず歯の構造から説明させていただきます。

歯の構造は、歯の一番外側は人体の中で最も硬い組織である「エナメル質」で覆われ、その内側に黄色みがかった象牙質があり、一番内側に神経があります。 外側のエナメル質は半透明の構造からなるために、エナメル質の透明度が高い歯であればあるほど内側にある黄色い象牙質が透けて見えやすくなります。 これが歯が黄ばんで見える原因です。

一般のホワイトニング法は薬液の効果によって歯の表面のペリクルや歯磨き残しの歯垢といった有機質を分解することでエナメル質を粗造にしてスリガラス状にします。これにより光の屈折が変化することで歯の表面を白っぽくみせます。一般のホワイトニング法ではこれで終了となりますので、再度表面に歯垢などの有機質が付着してきて後戻りが起こったり、エナメル質が弱くなり、虫歯になるリスクが高まります。

FAPホワイトニング法では薬液で粗造となったエナメル質の表面に、フッ素を刷り込むことで、フッ化アパタイトを吸着させ、その上にプラークなどのタンパク質の層が付着します。このフッ化アパタイトの層による厚みによって歯を白く見せることができます。 フッ化アパタイトは骨や歯といった体の硬い組織に非常に似た成分なので、ホワイトニング効果の後戻りを防ぎ、歯質を強くして、むしろ虫歯になりにくい歯を作ることになります。

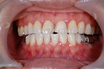
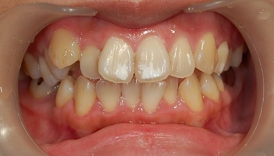
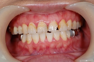
FAPホワイトニング症例servivces

...
...
...
...
...
...
...
...
...
...

歯茎の変色治療servivces

原因1:歯周病による歯茎の腫れや赤み

適切な歯磨きや歯石とり、クリーニングによって歯周病の原因となる歯垢や歯石を取り除くと、健康なピンク色の歯茎に戻ります。

原因2: メラニン色素の沈着による広範囲の歯茎の黒ずみ

生まれつき歯茎にメラニン色素が沈着されている方は歯茎が黒ずんで見えることがあります。また、タバコを長期間喫煙することで歯茎にメラニン色素が沈着し歯茎が黒ずんで見えることもあります。メラニン色素による色素沈着は歯茎の表層にあるために、歯茎の表面にフェノールという薬剤を塗ることで表面の黒ずんだ色素だけを簡単にとることができます。数分の処置で、約一週間後には綺麗なピンク色の美しい歯茎に戻ります。歯が白く綺麗でも黒ずんだ歯茎では、美しさや素敵な笑顔を損ねてしまいます。
歯茎の黒ずみには様々な原因がありますが、正しい対処法を選択することで、ピンク色の美しい歯茎を取り戻すことができます。

原因3: 差し歯などに使われる金属による黒ずみ

保険の差し歯の多くは金属が用いられています。その差し歯の内面の金属が透けることで歯の周囲の歯茎が黒ずんで見えることがあります。また、金属を削ったときにでる金属の細かいクズが歯茎の中に蓄積することで、歯茎が黒ずんで見えることがあります。差し歯自体を金属を使用していない差し歯に交換したり、黒ずんだ歯茎を外科的に切除することでピンク色の綺麗な歯茎を獲得できます。

ウォーキングブリーチ法servivces

当院で行っているホワイトニング法で、ホームホワイトニング以外に、もう一つ施術をしているホワイトニング法があります。それはウォーキングブリーチ法と呼ばれる方法です。

この方法は神経が死んでしまったことによって、変色している歯を元の色に戻す方法です。

ウォーキングブリーチ法は歯の中に直接ホワイトニングのお薬を入れて、封をすることで内側から歯を白くしていきます。

したがって、この方法で白く出来るのは神経が死んでしまっている歯で、被せ物などは被せていない、自分の歯の形がしっかりと残っている歯に有効です。

週に1回程度、歯の内側に入れるお薬を交換していくことで、大体1ヶ月くらいで歯の色を元に戻すことが出来ます。神経が死んでいる歯に行う方法ですので、痛みはありません。

...
...
...
...
...
...

ホワイトニングQ&Afaq

  • Q

    ホワイトニングは痛くないのですか?

    A

    ホワイトニングをやっている最中に激しい傷みがあることはありません。ただし人によっては歯がしみる感じがすることがあります。歯がしみる感じがするときはすぐに中断してご相談ください。

  • Q

    どんな歯でもホワイトニングできますか?

    A

    ご自分の歯でしたらホワイトニングにより白くすることができます。ただし、どれくらい白くなるかについては個人差があります。かぶせ物をしている歯はホワイトニングでは白くすることができません。

  • Q

    ホワイトニングで歯や体に悪影響が出たりはしませんか?

    A

    これまで膨大な量のホワイトニングに関する研究やデータがありますが、ホワイトニングで体に何か副作用があったという内容は報告されていません。安心してホワイトニングを受けられてください。ただし例外として、「無カタラーゼ症」という病気の方にはホワイトニングは安全を保障されていません。内容についてはご相談ください。

  • Q

    妊娠中でもホワイトニングはできますか?

    A

    妊娠中の胎児へのホワイトニング薬剤の安全性については現段階では確立されていません。出産を終えて落ち着かれてからホワイトニングを受けるようにしてください。

  • Q

    ホワイトニングに保険は適応されますか?

    A

    ホワイトニングには保険は適用されません。自費で払っていただくことになります。ただし、ホワイトニングの前段階としての検査や虫歯の治療には保険が適用されます。

  • Q

    矯正中でもホワイトニングはできますか?

    A

    矯正の装置をつけた状態ではホワイトニングを行うことはできません。ただし、矯正を終えた後の歯を固定している期間なら場合によってはホワイトニングをすることができます。詳しい内容については歯科医師に相談してください。

  • Q

    生まれつき歯に黄色い線が入っていますが、ホワイトニングで白くできますか?

    A

    生まれつき歯に黄色、もしくは茶色の線がグラデーションのように入っている方がいらっしゃいますが、これはホワイトニングでは薄くすることはできても完全に消すのは難しいです。線の濃さの程度にもよりますので、詳しい内容はご相談ください。

  • Q

    ホワイトニングのメリット、デメリットを教えてください。

    A

    ホワイトニングは歯を一切削ることなく、歯の色を白く美しくすることができます。そのかわりに白くなる程度については個人差があるということや、自分の歯のみ白くできるので、かぶせ物の色は変わらないことなどがあげられます。

料金表はこちら
治療内容 歯に薬剤を塗布し歯を白くする処置です。
費用 ホームホワイトニング:上下合わせて33,000円
ガムピーリング:上下合わせて5,500円
ウォーキングブリーチ法:1本につき11,000円
リスク・副作用 薬剤がしみる可能性があります。効果が永続的に続く訳ではありません。

厚生労働省指定歯科医師 臨床研修施設

医療法人英峰会イターナル歯科クリニックは「九州大学歯科医師臨床研修プログラム協力型施設」として厚生労働省より指定を受け、佐賀の地から全国に羽ばたく歯科医師を育成・輩出しています。

医療情報の活用について

当院は質の高い診療を実施するため、オンライン資格確認や電子処方箋のデータ等から取得する情報を活用して診療をおこなっています。